釉質牙體技術所-仿真牙,台北仿真牙,萬華仿真牙
關於釉質
About
服務項目
Service
聯絡我們
Contact
最新案例
CASES
案例分享
案例分享
首頁
>
最新案例
>
案例分享
> 不完美盡力就好 - 11
最新案例
CASES
案例分享
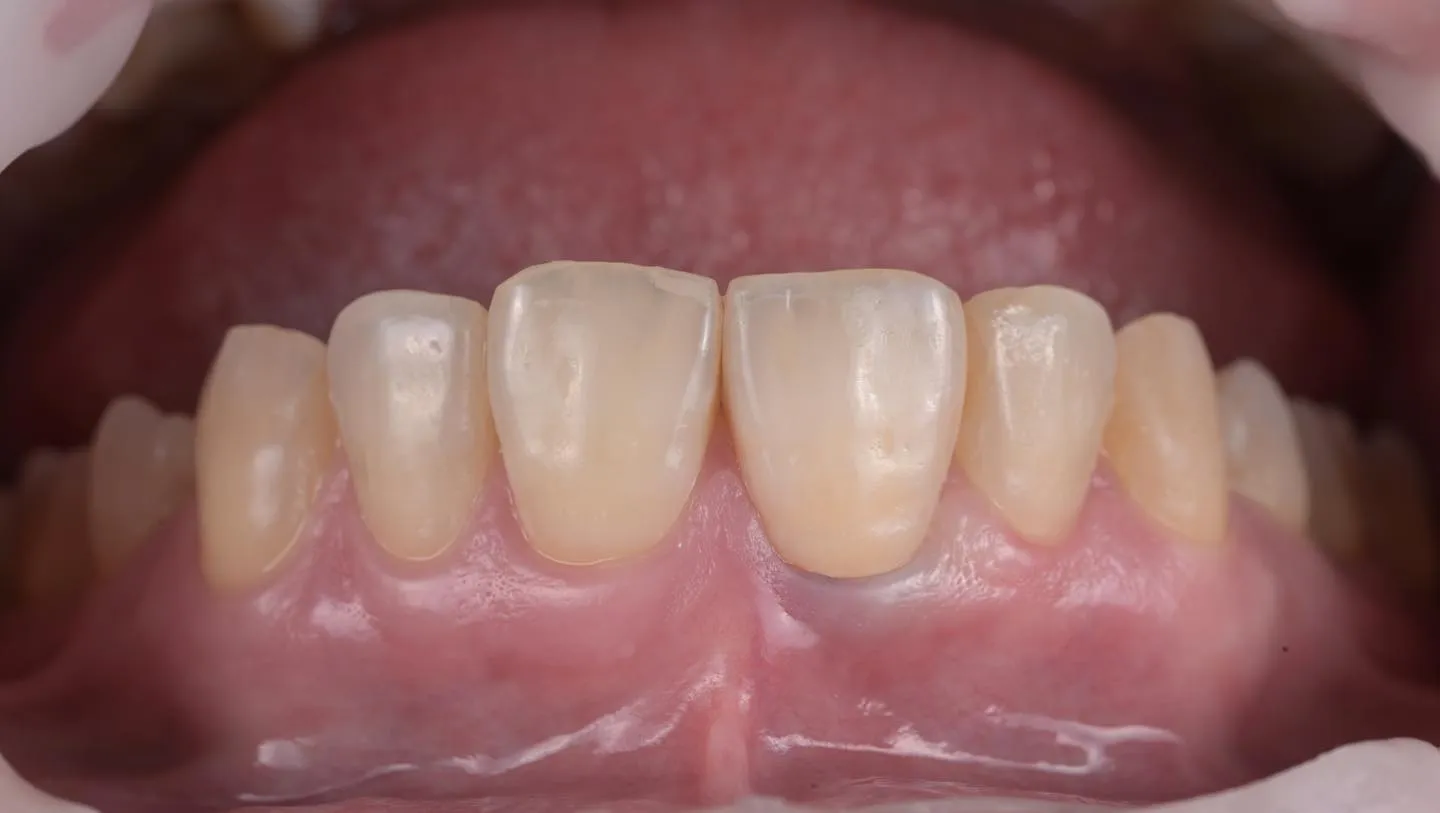
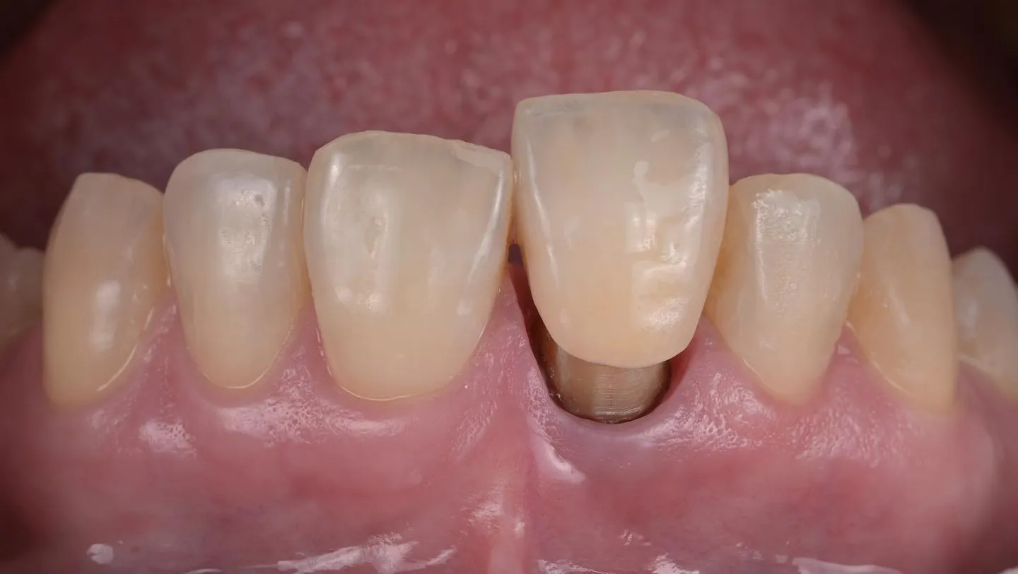
不完美盡力就好 - 11
分享到
不完美盡力就好
-
11
#oneshot
-
#牙科
#釉質
#仿真牙
#dental
#dentalcare
#dentaltechnician
#牙齒
#牙技
#牙技日常
#dentalphotography
#1
上一篇
回列表
下一篇
4-4 美白色 - Veneer & crown
熱愛你的工作
日常工作 46.Press
41 zirconia layering
上一頁
TOP
回首頁
電話
LINE
FB