首頁 > 最新案例 > 案例分享 > 12.13 Zirconia layering
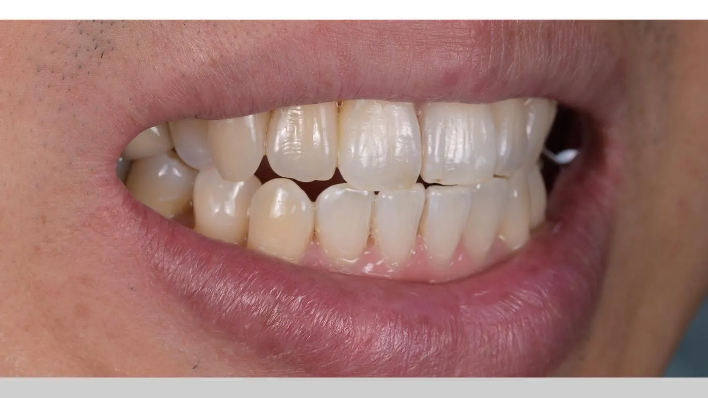
4-4 美白色 - Veneer & crown
11 zirconia layering - 專注於每個細節的匠心精神
21 zirconia layering
11.21 - #釉質