釉質牙體技術所-牙技所,牙齒修復,台北牙技所,台北牙齒修復,萬華牙技所
關於釉質
About
服務項目
Service
聯絡我們
Contact
最新案例
CASES
案例分享
案例分享
首頁
>
最新案例
>
案例分享
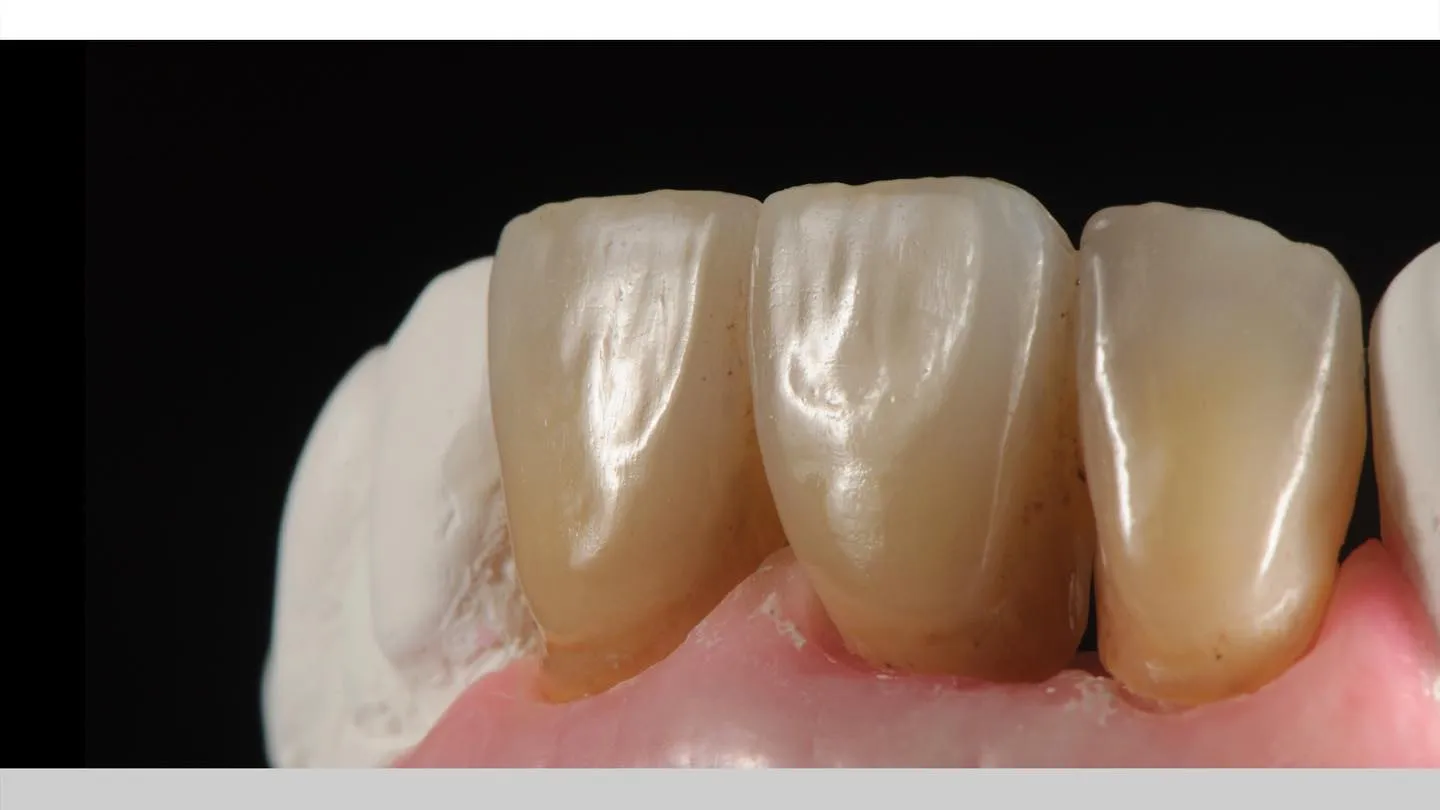
> 12 x 21 - 唇側燒瓷
最新案例
CASES
案例分享
12 x 21 - 唇側燒瓷
分享到
12 x 21
-
唇側燒瓷
-
#牙科
#釉質
#仿真牙
#dental
#dentalcare
#dentaltechnician
#牙齒
#牙技
#牙技日常
#dentallab
上一篇
回列表
下一篇
veneer layering
12 x 21 - 唇側燒瓷
Zirconia layering
14-24 氧化鋯 燒瓷&染色
上一頁
TOP
回首頁
電話
LINE
FB