釉質牙體技術所-仿真牙,台北仿真牙,萬華仿真牙
關於釉質
About
服務項目
Service
聯絡我們
Contact
最新案例
CASES
案例分享
案例分享
首頁
>
最新案例
>
案例分享
> Zirconia layering
最新案例
CASES
案例分享
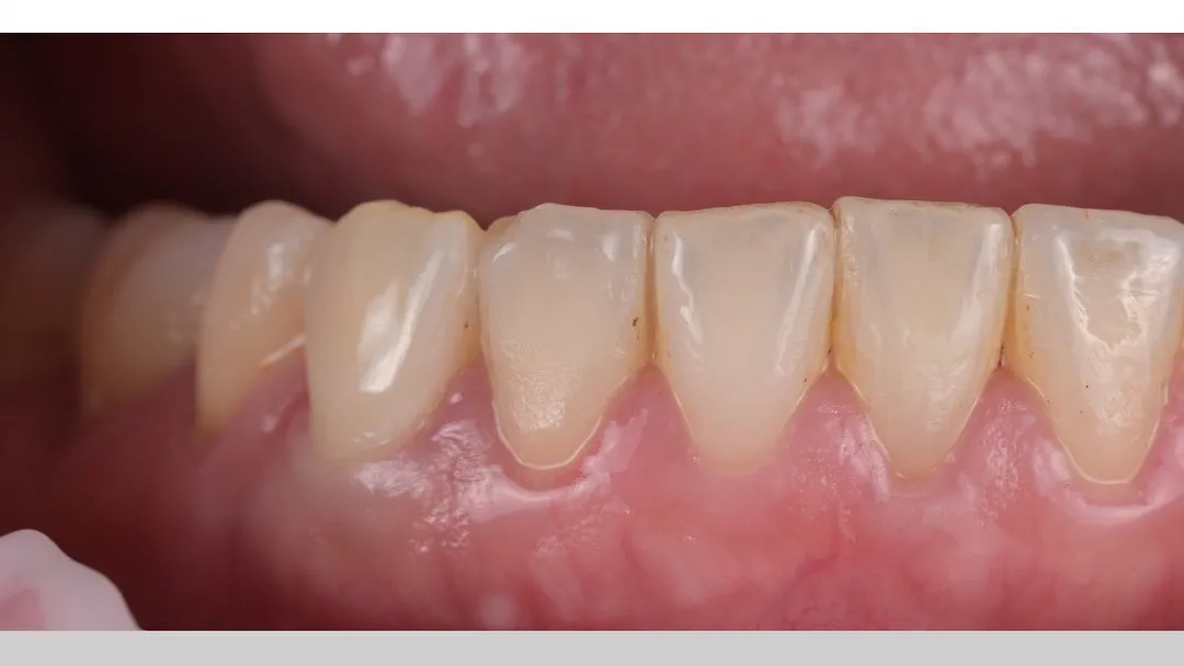
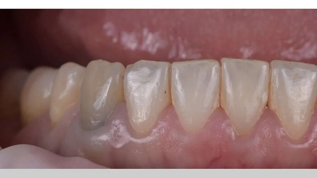
Zirconia layering
分享到
Zirconia layering
-
-
#oneshot
#釉質
#dental
#dentalphotography
#dentalcare
#dentaltechnician
#牙套
#牙科
#牙齒
#牙技
上一篇
回列表
下一篇
12.13 Zirconia layering
veneer layering
12.13 Zirconia layering
幸運的解鎖不同相機成就
上一頁
TOP
回首頁
電話
LINE
FB