首頁 > 最新案例 > 案例分享 > 21 - 唇側燒瓷

最新案例CASES

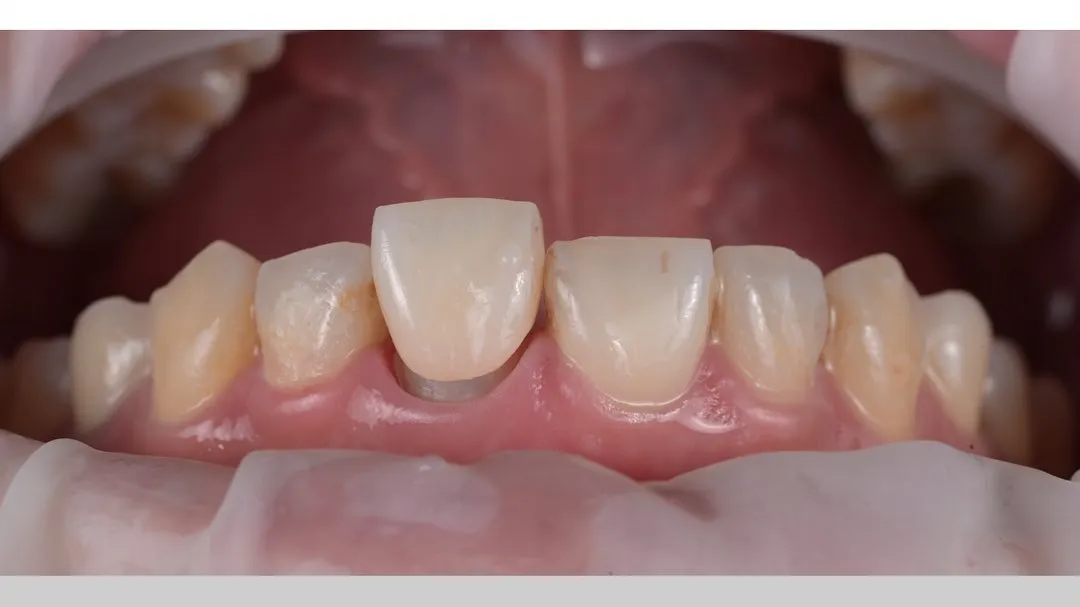
21 - 唇側燒瓷

分享到
TOP