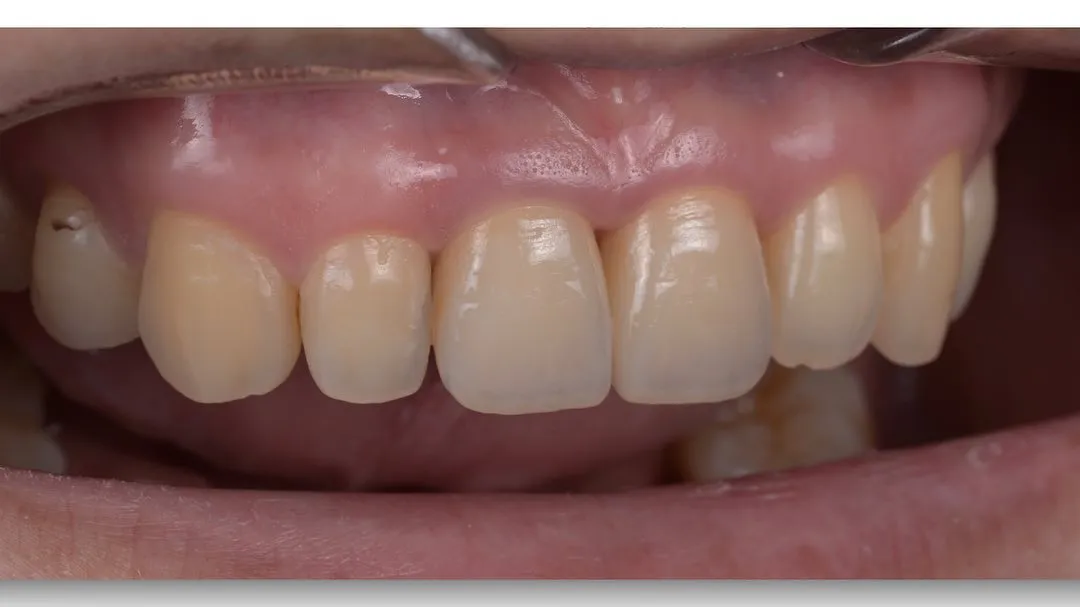
4-4 美白色 - Veneer & crown
4-4 美白色
-
Veneer & crown
感謝
@mldn41 回饋
-
#牙科 #釉質 #dental #dentalcare #dentaltechnician #牙齒 #牙技 #牙技日常 #dentallab #dentalart #美白牙齒
-
Veneer & crown
感謝
@mldn41 回饋
-
#牙科 #釉質 #dental #dentalcare #dentaltechnician #牙齒 #牙技 #牙技日常 #dentallab #dentalart #美白牙齒