首頁 > 最新案例 > 案例分享 > 11 zirconia layering

最新案例CASES

11 zirconia layering

分享到
執著成就品質,用心打造信任
-
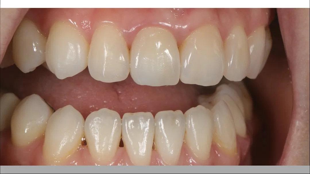
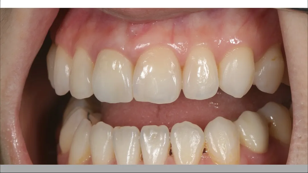
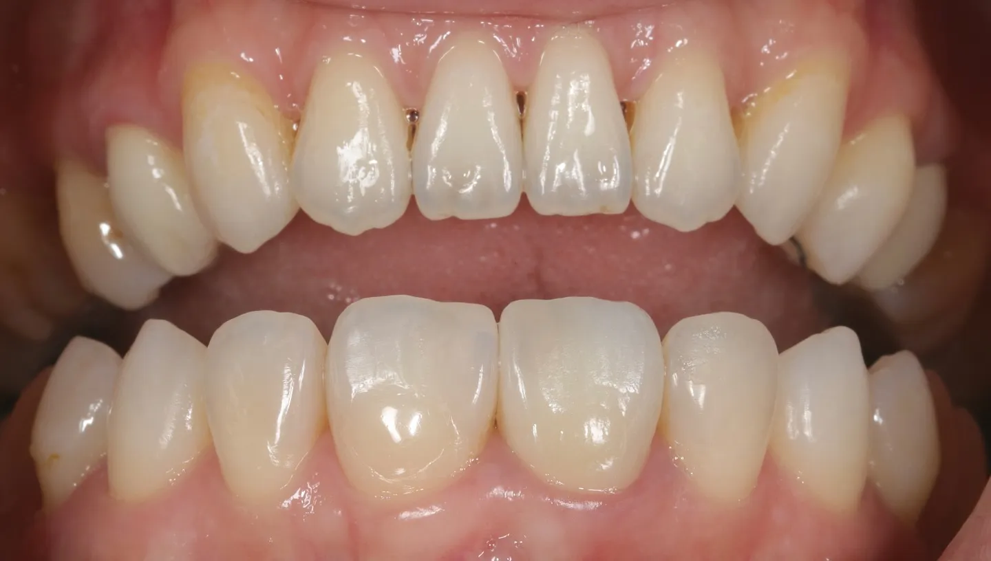
11 zirconia layering
-
labial side
-
#zirconia
#牙科
#歯科
#dental
#歯科技工
#釉質
#前牙修復
#台北牙醫
#新北牙醫
#牙醫
 

TOP