釉質牙體技術所-牙技所,牙齒修復,台北牙技所,台北牙齒修復,萬華牙技所
關於釉質
About
服務項目
Service
聯絡我們
Contact
最新案例
CASES
案例分享
案例分享
首頁
>
最新案例
>
案例分享
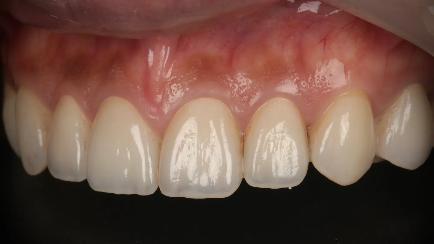
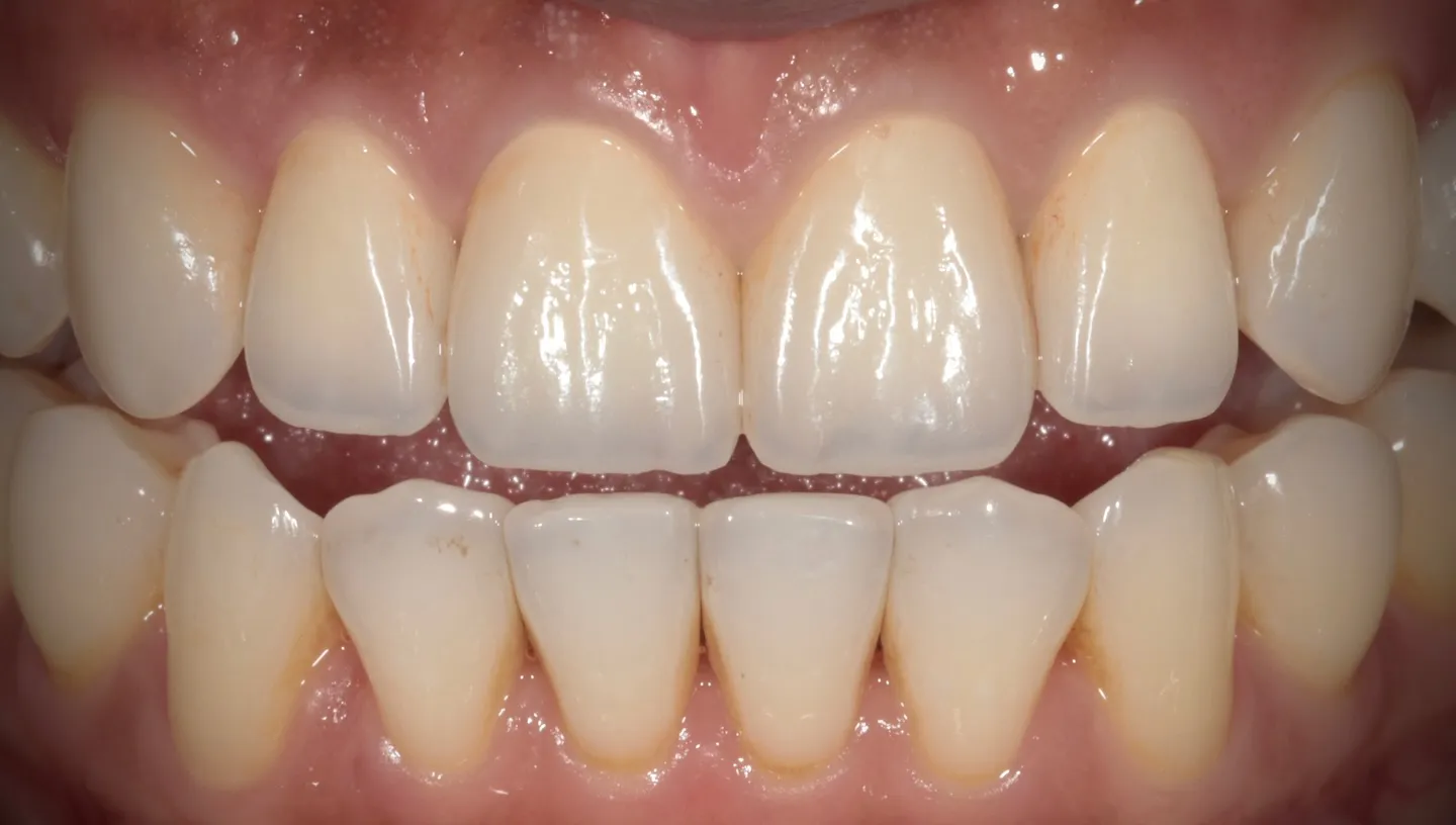
> 13-25 crown & veneer layering
最新案例
CASES
案例分享
13-25 crown & veneer layering
分享到
13-25 crown & veneer
layering
謝謝蘇醫師
@dr.su_suhu
#dental
#veneers
#zirconia
#釉質
#牙科
#牙齒
#牙技
#dentalcare
#dentalpothography
#比色驗證
上一篇
回列表
下一篇
veneer layering
熱愛你的工作
41 - 唇側燒瓷
11.21 - #釉質
上一頁
TOP
回首頁
電話
LINE
FB